当前时间:2025年12月19日 13:48:28
    当前位置 > 首页 > 医院新闻
    肿瘤医院神经外科:精准施术,成功连续攻克多例巨大脑转移瘤难题
    所属分类:[医院新闻]      来源:      更新时间:2025-07-14     

    近日, 神经外科团队成功完成四例巨大脑转移瘤手术,涵盖肺癌、子宫内膜癌、副神经节瘤、食管癌等多种脑外原发肿瘤引发的脑转移病例。神经外科团队在术前实施规范化疾病管理,联合MDT团队明确外科手术指征及术后后续治疗方案;术中借助神经导航仪精准定位,巧妙避开功能区、血管,最大程度避免了术后功能损害,实现肿瘤全切,快速缓解患者症状术前受肿瘤压迫的正常脑组织;术后迅速复位,术前因肿瘤压迫引发的头痛、头晕、讲话含糊、失语等症状,术后即刻缓解或痊愈。


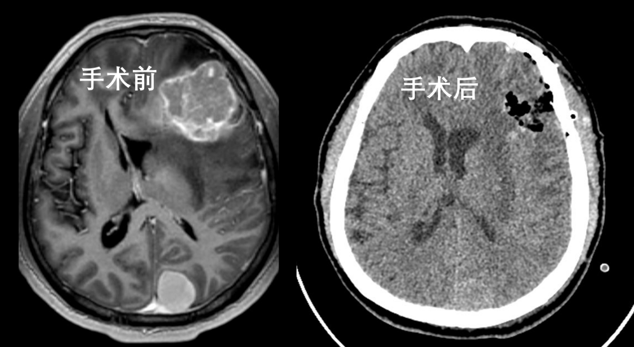
    案例一 70岁李伯——副神经节瘤脑转移,精准手术重获新生


    70 岁的李伯因头痛、右腿无力,突发活动及语言停止(癫痫失神发作)前来就诊。经了解,李伯既往有颈部副神经节瘤病史。完善头颅磁共振检查后,结果显示左侧额叶存在巨大占位,考虑为副神经节瘤脑转移瘤。

    图片 1.png

    该肿瘤最大径达 46mm*46mm,占位效应显著,周围大片水肿,脑疝形成,正是这些因素导致李伯出现头痛、肢体乏力及癫痫症状。

    图片 2.png

    手术过程中,依据神经导航仪精准定位,巧妙避开功能区、血管,成功实现肿瘤全切。术后,李伯头痛、肢体乏力及癫痫症状完全消失。

    图片 3.png

    借助三维重建技术,可清晰看到半透明化的头骨和脑组织,肿瘤与头骨上额窦、脑功能区的相对位置一目了然。

    图片 4.png

    左额转移瘤术后第一天复查显示,肿瘤被全切,被挤压的脑室和脑组织成功复位。术后仅 1 周,他便能下地活动,生活实现自理。


    案例二 50 多岁林叔——食管癌脑转移,精准切除恢复功能


    50 多岁的林叔因头痛、视物不清前来就医。入院查体时,医生发现他还伴有命名性失语症状,表现为找词困难,虽能认出对方是亲戚好友,却记不起对方姓名。完善头颅磁共振检查后,结果显示左侧颞顶枕叶存在占位,考虑为食管癌脑转移。肿瘤最大径达 46mm*40mm,其引发的大片水肿影响了语言中枢及视觉中枢,从而导致林叔出现视物模糊及记不得亲人名字(命名性失语)的症状。

    图片 5.png

    图片 6.png

    术前三维重建显示,肿瘤位于语言中枢深面。术中,医生巧妙避开语言和视觉中枢及血管,从枕叶侧后方成功切除肿瘤。

    图片 7.png

    左颞枕叶转移瘤术后第一天复查可见,肿瘤被全切,被挤压的中脑和脑组织复位。林叔头痛症状得到缓解,视物模糊情况逐日好转,也逐渐能够想起亲朋好友的姓名。


    案例三  70 多岁吴伯——肺癌左额叶转移,精准施术改善症状


    70 多岁的吴伯因反应迟钝、言语含糊,伴右侧手脚乏力前来就诊。结合病史和影像检查结果,医生考虑为肺癌左额叶转移。

    图片 8.png

    术前,精心规划手术路径,成功避开语言区、血管。术后第一天复查显示,肿瘤被全切,吴伯讲话含糊、肢体乏力症状较术前明显好转。

    图片 9.png


    案例四  梁阿姨——子宫内膜透明细胞癌脑转移,快速手术缓解症状


    梁阿姨因头晕头痛前来就诊,完善检查后确诊为子宫内膜透明细胞癌脑转移。

    图片 10.png

    图片 11.png

    图片 12.png

    术前三维重建显示,肿瘤周围存在大片水肿。术后,肿瘤被全切,脑组织复位,梁阿姨头痛头晕症状迅速缓解。


    针对这四位患者,团队后续将严格依据MDT团队所达成的共识,为每位患者量身定制个性化的治疗方案。治疗方案将涵盖放疗,以及包括但不限于靶向治疗、免疫治疗和化疗在内的抗肿瘤全身治疗,旨在全方位、多层次地对抗肿瘤,为患者的康复之路保驾护航。

    此次 神经外科团队连续成功完成四例巨大脑转移瘤手术,这一成果意义非凡。团队凭借精湛的医疗技术精准操作,切除脑转移瘤可快速缓解患者的头晕头痛,肢体乏力等压迫症状,并遵循规范化治疗流程,对患者病情进行全面评估与细致规划,通过MDT团队讨论,集思广益制定个性化后续治疗方案。这一系列举措不仅充分彰显了团队的专业实力,更为脑转移瘤患者带来了新的希望。未来,我院神经外科团队将继续秉持精益求精的态度,不断提升医疗水平,为更多患者提供优质、高效的医疗服务。


    神经外科

    神经外科作为工信部、卫健委“神经外科手术导航机器人应用推广项目”推广科室,科室依托肿瘤医院肿瘤防治方面医、教、研、设备等全方位的资源优势,形成以神经肿瘤的综合治疗(手术、放疗、化疗)为科室重点专业方向,颅脑创伤、脑血管病、功能神经外科、神经重症等亚专业齐全的综合性神经外科。

    图片 13.png

    【业务开展】

    目前主要开展神经导航微型机器人引导下显微镜及神经内镜微创手术治疗各种神经肿瘤(脑膜瘤、胶质瘤、垂体瘤、听神经瘤、脑转移瘤、脑室系统肿瘤等)、脑血管病(高血压脑出血、血管畸形、动脉瘤、烟雾病);轻、重型颅脑损伤开颅手术等综合治疗;各种类型脑积水的诊断及分流手术治疗;面肌痉挛、三叉神经痛、痉挛型脑瘫、帕金森、脑梗死的诊治;脑脓肿、椎管内感染等各种复杂的颅内感染性疾病的综合治疗;去骨瓣减压术后钛网或PEEK材料颅骨修补术;频发性癫痫的迷走神经刺激术(VNS);昏迷促醒治疗等。


    【团队骨干】

    图片 14.png

    陈辉

    神经外科副主任

    副主任医师 

    目前担任医学硕士广东省医院协会神经外科专业委员会委员、广东省脑发育与脑病防治学会脑病精准诊疗与修复分会常委、广东省保健协会脑卒中防治与健康分会常务委员、汕头市医学会神经外科专业委员会委员、汕头大学医学院兼聘教师

    擅长各种颅脑肿瘤、脑血管病、脑出血、脑外伤、癫痫、脑积水、神经重症、面肌痉挛、三叉神经痛、痉挛型脑瘫等疾病的综合诊治,率先在粤东地区标准化、常态化的应用神经导航微型机器人系统开展脑胶质瘤、脑膜瘤、脑转移瘤、听神经瘤等高难度肿瘤的显微外科手术及深部、功能区、小体积颅脑肿瘤的微创穿刺活检手术。


    (神经外科


Baidu
map