当前时间:2026年05月04日 15:47:13
    当前位置 > 首页 > 医院新闻
    新突破!肿瘤医院麻醉科成功应用可视化支气管封堵技术
    所属分类:[医院新闻]      来源:      更新时间:2025-05-22     

    近日, 麻醉科成功将可视化支气管封堵技术应用于一名喉癌术后且处于气管切开状态的高危困难气道患者。凭借该技术,胸外科团队在单肺通气下顺利完成了胸腔镜肺部手术。此次手术的成功,标志着我院麻醉科在复杂气道管理以及微创胸科麻醉领域迈上了新的台阶。


    病情复杂 挑战重重

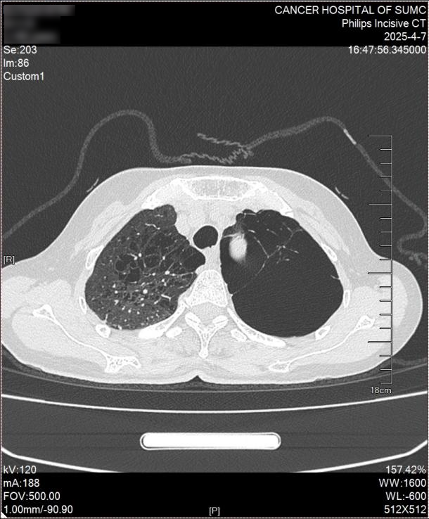
    魏阿姨今年3月份因为声音嘶哑在我院检查,诊断为喉癌并做了气管切开+左半喉垂直切除手术,术后留置气管切开套管。20天前,魏阿姨因突发胸闷气促再次急诊入院,胸部CT提示肺气肿合并左上肺巨大肺大泡,需行胸腔镜手术切除肺大泡。

    图片 1.png

    患者双肺严重肺气肿,左侧胸腔几乎全部被巨大肺大泡占据

    图片 2.png

    颈前区留置气管切开套管

    但由于魏阿姨已行颈前气管造瘘,气道解剖结构显著改变,且喉部手术后有狭窄,常规型号气管导管无法通过。同时,胸腔镜手术依赖单肺通气技术提供满意的手术视野和操作空间,如何在高风险气道条件下实现精准肺隔离、保障术中通气安全,成为横亘在麻醉团队面前的首要难题。


    创新技术破困局 


    面对这一棘手难题,麻醉科徐翔副主任团队迅速响应,展开深入研讨和精心准备,最后决定借助可视支气管封堵器实现这一特殊病例的单肺通气。尽管支气管封堵器在单肺通气管理中应用较广泛,但用于气管切开患者却鲜有先例。 术前,麻醉科团队对患者进行了全面细致的评估,涵盖气道情况、肺功能以及心肺储备能力等各个方面,权衡了支气管封堵器的使用方法与潜在风险,为魏阿姨精心制定一套个性化、全方位的麻醉方案及应急预案,力求将手术风险降至最低。

    手术当天,麻醉科团队全神贯注,紧密协作。在诱导麻醉阶段谨慎选择药物和剂量,密切观察生命体征,充分供氧,确保魏阿姨从清醒状态平稳过渡到麻醉状态。徐翔副主任通过气管切开创口插入可视化气管导管并精准定位,在实时影像引导下将封堵球囊置入左侧支气管,成功实现患侧肺萎陷与健侧肺有效通气。

    图片 3.png

    麻醉团队经气管切开创口置入可视气管导管并妥善固定

    图片 4.png

    经可视气管导管置入支气管封堵器

    全程采用可视化操作,极大降低了气道损伤风险,同时为胸外科团队提供了清晰稳定的手术视野。

    图片 5.png

    支气管封堵器全程可视化管理

    手术开始前,苏泽耿主治医师还为魏阿姨进行了超声引导下左侧椎旁神经阻滞,联合全身用药,实施多模式镇痛,实现快速康复。

    图片 6.png

    超声引导下椎旁神经阻滞


    多学科协作显实力


    在整个手术过程中,麻醉团队始终保持高度警惕,持续监测患者的呼吸参数以及血流动力学变化,根据实时数据精细调整麻醉深度和通气参数,确保患者的氧合情况始终保持在安全范围内,并维持清晰稳定的手术视野。胸外科团队则乘胜追击,娴熟运用单孔胸腔镜技术,顺利完成肺大泡切除。

    图片 7.png

    魏阿姨开心地竖起大拇指

    术中患者生命体征平稳,手术结束时魏阿姨便很快从麻醉中醒来,麻醉与手术全程充分体现了加速康复外科(ERAS)理念。在麻醉复苏室,魏阿姨得知手术顺利快速完成,开心地对大家竖起了大拇指。


    技术赋能 引领发展

    徐翔副主任介绍道,胸外科手术的全身麻醉因手术部位的特殊性而不同于其他手术,一般情况下需通过双腔支气管导管将两侧肺隔离,手术一侧的肺不通气,这样不仅可以防止患侧肺的分泌物进入健侧肺,保护健康的支气管和肺叶免受患侧污染,也有利于手术视野暴露,便于术者操作。但双腔支气管导管外径粗、硬度大、置入深,对患者的损伤大、刺激大,插管操作复杂,尤其是魏阿姨气管切开创口较小,喉部也因为做过手术出现狭窄,无法按常规置入双腔支气管导管。 因此针对本病例,麻醉科团队个性化地采用了可视气管插管联合支气管封堵的方案。该方案不仅对气管损伤小,刺激性小,操作便捷,且大大提高了气管切开患者气道管理的安全性和可控性。

    “此例手术的成功顺利进行彰显两大突破:一是气道管理创新:突破传统插管禁忌,为气管切开患者开辟安全手术路径;二是精准麻醉升级:可视化技术实现精准定位,为特殊患者提高肺隔离成功率。这项技术的应用让既往被视为‘手术禁区’的复杂气道患者重获治愈疾病的希望。”徐翔副主任表示,“我院麻醉科团队将持续探索麻醉学科前沿技术,为疑难杂症、重症肿瘤患者构建更安全高效的麻醉手术平台。”


    作为区域性肿瘤防治中心,我院麻醉科始终践行“以患者为中心”的服务理念,深耕困难气道领域,以精准化、个体化方案为患者安全护航,利用各种前沿气道管理工具,已成功助力多名困难气道患者度过围手术期气道管理难关。此次复杂病例的成功救治,既是多学科团队攻坚克难的生动实践,更是医院高质量发展进程中技术创新与人文关怀深度融合的典范。未来,我们将继续以尖端技术为翼,以仁爱之心为舵,为更多危重疑难患者点亮生命之光。


    (麻醉科) 


Baidu
map