当前时间:2026年05月06日 01:51:14
    当前位置 > 首页 > 医院新闻
    罕见30cm巨脾切除!肿瘤医院肝胆胰外科成功为一名地中海贫血患者实施巨脾切除术
    所属分类:[医院新闻]      来源:      更新时间:2024-12-08     

    近日, 肝胆胰外科成功为一名地中海贫血患者实施了罕见巨脾切除术。


    患者情况 

    患者王女士,今年31岁,因“巩膜皮肤黄染伴腹部膨隆2月余”来我院就诊。患者2月余来自觉巩膜、皮肤逐渐变黄,伴腹部渐渐膨隆,以左侧为甚,影响到进食。

    患者家属重视,遂至当地医院就诊,查肝功能提示胆红素升高,腹部CT检查提示胆囊结石,脾脏明显增大。为求进一步诊治,王女士慕名来到我院肝胆胰外科古松钢副主任门诊就诊。

    古松钢副主任触诊发现患者腹部明显膨隆,脾脏肿大明显,触及脾脏下极达盆腔。患者入院后完善了相关检查。

    血常规:白细胞 2.82 *10^9/L、血红蛋白 81.00 g/L、血小板 118.00 *10^9/L

    肝功能:总胆红素 114.3 umol/L、直接胆红素 8.8 umol/L、间接胆红素 105.5 umol/L、肿瘤标志物未见明显异常

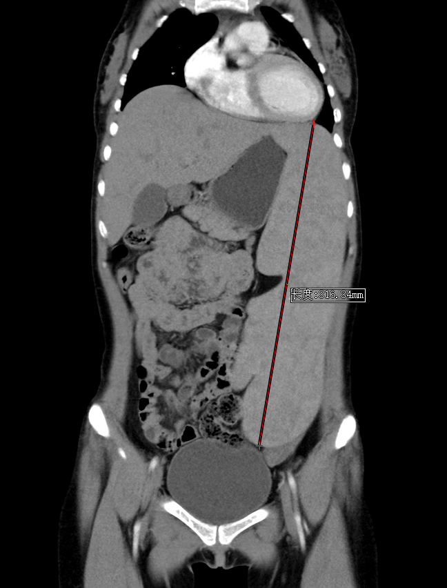
    胸腹部增强CT:1.脾脏重度肿大,最大径线超过30cm,脾静脉明显增粗,考虑门脉高压。2.心室及大血管血液密度减低,考虑贫血。

    图片 1.png

    CT示脾脏重度肿大,最大径线超过30cm


    结合王女士的临床表现及检验、检查结果,古松钢副主任高度怀疑患者为血液系统疾病导致的脾大。考虑到广东是地中海贫血的高发地区,古主任进一步为患者进行了地中海贫血基因筛查,基因检测结果显示患者为轻型β型地中海贫血。由于血红蛋白的结构异常,容易被破坏而发生溶血,进而引发贫血及黄疸。长期溶血及贫血的刺激导致脾脏增大,脾功能亢进。脾功能亢进又进一步破坏患者的白细胞、红细胞、血小板,加重贫血,并导致患者白细胞、血小板减少。


    手术治疗


    脾切除能够减少脾脏对自身血细胞的破坏,一定程度上减少患者输血的次数及需求量,是治疗地中海贫血的有效方法之一。

    考虑患者贫血严重,脾脏最大径线约32cm,为保障医疗安全,减少患者术中出血的风险,古松钢副主任团队在充分的术前准备和风险评估后,与患者及家属充分沟通,最终确定最适合王女士的手术方案为全脾切除术。

    在医院手术室护理团队和麻醉科徐翔、黄小燕副主任医师的协作下,古松钢副主任团队成功为患者施行了全脾切除+副脾切除+胆囊切除术。

    尽管团队此前已处理过巨脾病例,但如此巨大的脾脏仍属罕见。脾脏本身质地脆弱易碎,加之患者脾脏充血肿大、周围间隙狭窄、侧支循环丰富以及粘连,手术难度和风险都相对提高。在操作过程中稍有不慎就有可能导致大出血或创面持续渗血,且容易损伤胃壁、胰腺等邻近器官。

    图片 2.png图片 3.png

    术中

    图片 4.png

    手术切除的脾脏

    凭借精湛的手术技巧及丰富的经验,古松钢副主任经过约2个小时的精细操作,成功将巨大的脾脏切除,术中出血量约50ml,术中无输血,取出的脾脏体积约为32×18×9厘米³。王女士术后恢复良好,无相关并发症出现,术后1周顺利出院。


    专家介绍

    图片 5.png

    古松钢

    肝胆外科学科带头人、副主任

    副主任医师 ,硕士生导师

    岭南名医 , 医学博士

    擅长原发性肝癌、胰腺癌、壶腹部肿瘤、胆管癌、结直肠癌肝转移、肝内外胆管结石、肝囊肿及先天性胆管发育异常等疾病的微创手术为主的综合治疗。

    【学术兼职】

    广东省卫生信息网络协会肝胆胰外科数字医学应用分会副会长

    汕头市抗癌协会肝癌专业委员会主任委员

    广东省基层医药学会肝脏外科专业委员会常务委员

    广东省抗癌协会肝癌专业委员会委员

    广东省肝脏病学会肝胆肿瘤精准治疗专业委员会委员

    汕头市医学会肝胆外科分会常务委员

    【出诊时间】

    大学路院区每周二上午8:30—12:00

    饶平路院区每周五上午8:30—12:00



    (肝胆胰外科)


Baidu
map