当前时间:2026年05月06日 04:32:37
    当前位置 > 首页 > 医院新闻
    肿瘤医院肝胆胰外科连续三天完成多台高难度手术
    所属分类:[医院新闻]      来源:      更新时间:2024-11-20     

    近日, 肝胆胰外科古松钢副主任医疗团队连续三天顺利完成2例胰十二指肠切除术及1例全胰腺切除术,3位患者术后均恢复良好,无胰漏、胆漏、出血、感染等并发症,于术后1周余出院。

    胰十二指肠切除术是治疗十二指肠壶腹部、胆总管下段、胰头肿瘤的根治性手术方式。手术切除范围包括:远端胃、胆囊、胆总管下段、十二指肠、胰头以及区域淋巴结的清扫。术中需施行胰管-空肠吻合、胆管-空肠吻合、胃-空肠吻合的复杂消化道重建。

    由于胰头毗邻多个重要器官,解剖关系复杂,腹腔干、肝总动脉、肠系膜上动脉、下腔静脉、门静脉、脾静脉等重要血管在这里组成复杂的血管网,因此手术过程中若稍有不慎损伤血管,有可能引发难以控制的大出血甚至危及患者生命。术后容易出现胰瘘、胆瘘、出血、腹腔感染等多种并发症,因此胰十二指肠切除术是普外科最为复杂且风险性极高的标志性手术之一。


    病例回顾


    病例一

    患者为57岁女性,因“发现肝门部占位4月余”来院就诊,住院后完善增强CT、MR检查后考虑肝门部占位为胰头来源肿瘤,囊腺瘤可能,病灶内局部壁结节形成,未排恶变可能,胆总管下段、门静脉、下腔静脉、十二指肠均明显受压。

    图片 4.png

    图片 3.png

    CT示肝门部肿物,大小约4cm×7cm,位于门静脉及下腔静脉间隙,门静脉、下腔静脉受压。


    在完善术前准备后,古松钢副主任团队为患者顺利实施胰十二指肠切除术。肿物位于门静脉及下腔静脉的间隙中,紧贴这两个大血管,为手术操作增添了不少难度。古松钢副主任凭借扎实的手术操作技巧,完整将肿瘤剥离,未损伤门静脉及下腔静脉等大血管,手术历时3小时余,术中出血约100ml。

    患者术后顺利恢复,术后1周余即出院。术后病理提示为胰腺神经鞘瘤,病理类型少见。


    病例二

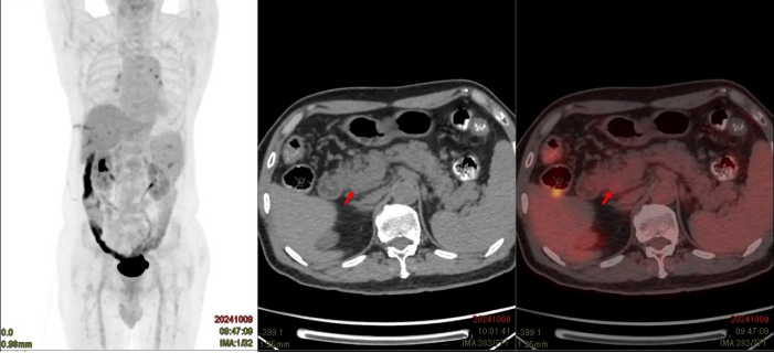
    患者为76岁男性,因“身目黄染1周余”入院。入院后完善相关检查示肝功能异常,胆红素升高,增强CT及增强MR检查结果示胆总管下段梗阻,胆管壁增厚,考虑炎症与肿瘤相鉴别,进一步完善PET-CT检查后考虑胰头癌并压迫胆总管下段。

    图片5.png

    PET-CT示胰头结节(红色箭头),FDG代谢增高,考虑为恶性病变

    在麻醉科医师的保驾护航、手术室护理团队的大力支持和默契配合下,古松钢副主任团队成功患者实施胰十二指肠切除术。患者于术后1周余即出院,术后病理提示为胰腺导管腺癌。


    病例三

    患者为57岁女性,因“反复左上腹痛1月余”入院,入院后完善PET-CT等影像学检查示胰腺沟突大小约2cm×2cm结节,FDG代谢增高,胰腺头颈部巨大囊性灶并壁结节,大小约9cm×7cm×7cm,FDG增高,胰腺体尾部萎缩,考虑为胰腺黏液性囊性肿瘤并恶变。

    图片6.png

    图片7.png

    PET-CT示胰腺沟突结节,胰腺头颈部巨大囊性灶并壁结节,胰腺体尾部萎缩。两者FDG代谢均增高,考虑为胰腺黏液性囊性肿瘤并恶变可能

    在完整相关术前准备后,古松钢副主任团队拟为患者实施胰十二指肠切除术。术中探查见胰腺体尾部明显萎缩,考虑保留意义不大,遂行全胰切除术,术中保留脾脏。患者术后顺利恢复,术后约2周出院。术后病理提示:胰腺头颈部囊肿及胰头结节均为胰腺假性囊肿伴陈旧性出血,胰体尾胰腺实质重度萎缩,大部分为脂肪组织,可见少许胰岛残留。


    (肝胆胰外科


Baidu
map