当前时间:2026年03月20日 17:50:42
    当前位置 > 首页 > 医院新闻
    微创精准 快速康复——肿瘤医院肝胆胰外科完成一例腹腔镜下保脾胰体尾切除术
    所属分类:[医院新闻]      来源:      更新时间:2024-07-29     

    近日, 肝胆胰外科古松钢副主任团队成功完成了一例腹腔镜下保脾胰体尾切除术,保留脾脏的前提下为患者切除了胰腺病变部位。术后7天,患者无胰瘘、出血等并发症,恢复良好出院,达到了微创、精准、快速康复的要求。


    病例介绍

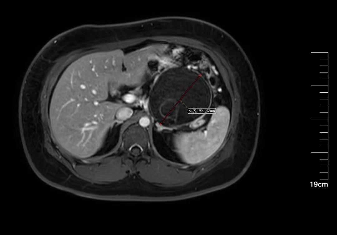
    25岁的吕女士,2024年5月行常规体检时查上腹部CT平扫见胰体尾部一巨大类圆形囊性密度灶,大小约94*92mm,考虑胰体尾部囊性占位。鉴于患者年龄仅25岁,未婚,患者及家属强烈要求行微创手术治疗。经多方咨询,至我院肝胆胰外科门诊就诊。古主任在阅看患者外院影像片后,考虑患者胰体尾巨大囊性占位,与脾动静脉分界不清,需术中进一步探查明确脾脏是否需同时切除。

    图片 1.png

    胰体尾巨大囊性占位MRI

    图片 2.png

    胰体尾巨大囊性占位CT


    手术情况

    经过与家属进行进一步沟通,了解患者及家属的治疗需求,完善相关术前准备后,在麻醉科与手术室护理团队的配合下,古松钢副主任团队为吕女士在全麻下施行了腹腔镜下保脾胰体尾切除术。

    手术过程顺利,耗时360分钟,术中出血300ml,术后腹部切口长度约10cm。

    图片 3.png

    胰体尾巨大囊性占位手术切除标本

    术后吕女士在肝胆胰外科加速康复的理念下早期恢复进食、早期下床活动,在术后的第7天,吕女士恢复良好出院。术后病理提示:胰体尾部:胰腺导管粘液腺囊腺瘤并部分囊壁炎性增生、出血。

    图片 4.png

    术后患者切口恢复情况



    胰腺导管粘液性囊腺瘤

    胰腺导管粘液性囊腺瘤时胰腺常见的囊性肿瘤之一,约占胰腺囊性肿瘤的10%,多见于40-50岁中年女性,俗称“妈妈瘤”。患者一般无明显临床症状,部分患者可因肿瘤压迫周围器官出现症状,少部分患者可有腹痛、胰腺炎、呕吐、黄疸等表现。病灶多发生于胰腺体尾部,肿瘤体积通常较大,直径为2cm-30cm,为单囊或多个大囊组成,囊内充满粘液。检查首选腹部CT平扫+增强。属良性肿瘤,但有恶变倾向,16%的病例可出现侵袭性癌,通常需手术治疗。


    汕头大学医学院附属肿瘤医肝胆胰外科擅长肝脏良恶性肿瘤、胰腺肿瘤、壶腹部肿瘤、胆管癌、肝内外胆管结石及先天性胆管发育异常等疾病的以微创手术为主的综合治疗。常规开展腹腔镜肝段切除术、胰十二指肠切除术、肝门部胆管癌根治术、腹腔镜保脾胰体尾切除术、脾切除术、腹腔镜胆总管切开取石术、腹腔镜胆囊切除术、胆道镜碎石取石术、内镜逆行胰胆管造影(ERCP)、内镜下胆管、胰管支架置入等术式。


    (肝胆胰外科) 


Baidu
map