当前时间:2026年03月16日 22:40:27
    当前位置 > 首页 > 医院新闻
    迎难而上!我院骨科团队成功完成高难度右侧人工髋关节翻修术+右股骨同种异体骨重建内固定术
    所属分类:[医院新闻]      来源:      更新时间:2024-07-16     

    近日, 骨科团队经过不懈努力,成功完成了一例难度极高的右侧人工髋关节翻修术+右股骨同种异体骨重建内固定术。这一手术的成功实施,不仅展示了我院骨科在骨科领域的卓越技术实力,也为广大患者带来了新的治疗希望。


    患者情况 

    28岁的江先生(化名)得了一种罕见的骨肿瘤疾病——多中心骨巨细胞瘤(Multicentric giant cell tumor of bone,MCGCT),因为这个疾病,他在7年前就做了全髋关节置换术。

    然而命运多舛,半年前他因为假体松动在外院进行了右人工股骨头翻修术,仅仅过了几个月,他再次感觉行走不稳,完善检查后发现再次出现假体松动并且假体柄断裂。转诊多家医院后,此次他决定到我院骨科门诊就诊。

    图片 1.png图片 2.png

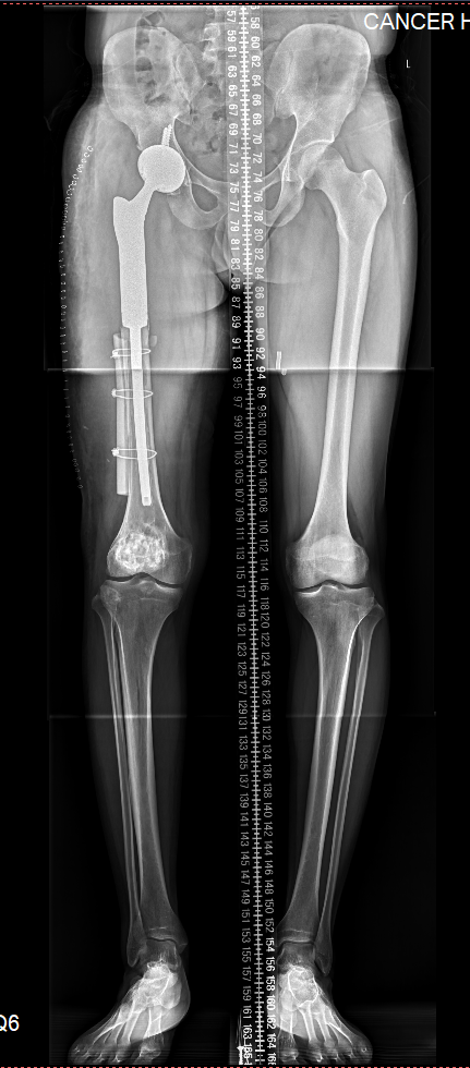
    术前影像


    骨巨细胞瘤

    骨巨细胞瘤是一种交界性的、行为不确定的肿瘤,常常侵犯长骨造成偏心性溶骨性破坏。该病发病率占全部骨肿瘤的5%,多见于20~40岁的成人,女性发病率较高,好发于股骨远端、胫骨近端、桡骨远端等部位。它的临床症状主要是肿瘤局部进行性的疼痛和肿胀,症状的轻重与病情的进展情况相关,病变累及的肢体可出现活动受限、功能障碍,甚至出现病理性骨折,并且存在恶变和肺转移风险。

    在不同骨骼或同一骨骼的不相邻部位发现骨巨细胞瘤称为多中心骨巨细胞瘤(Multicentric giant cell tumor of bone,MCGCT),发病率<1%。MCGCT的诊断与单发性GCT相同,需要同时结合临床、影像学和病理学检查,单独一项检查无法确诊。MCGCT的治疗目标是彻底清除病灶、防止复发并保留关节功能,所以手术是首选的治疗手段,同时配合靶向药物(如地舒单抗)长期治疗控制病情。


    那么

    此次治疗难度大在哪?

    ▶ 本例患者骨巨细胞瘤累及股骨颈、股骨远端、胫骨近端等多个部位,属骨巨细胞瘤中的罕见类型。

    ▶ 因患者此前进行过多次髋关节手术,局部解剖结构因瘢痕修复而改变,手术入路解剖标志不清晰,骨质条件差。

    ▶ 手术目标在于完整取出嵌入髓腔的断裂假体柄及其附着的骨水泥,并重新植入、妥善固定新假体,难度远高于一般的髋关节置换手术。

    ▶ 另外,患者为年轻男性,术后功能要求高,我们希望通过手术使患者及早恢复下地活动,回归正常生活。


    手术情况


    右侧人工髋关节翻修术

    术前,骨科王伟东副主任团队首先对患者的髋关节进行全面检查,准确评估假体柄断裂位置,设计截骨范围。手术过程中,团队精细操作,将原有的假体取出,并彻底清除周围的炎症组织。接着,根据患者的具体情况,选择合适的人工股骨头假体进行置换。

    图片 3.png

    右股骨同种异体骨重建内固定术

    在完成髋关节翻修术后,骨科团队立即进行右股骨的重建手术。团队采用同种异体骨和骨水泥进行骨缺损的填充和支撑,然后运用内固定技术对骨缺损部位进行稳定固定。在检查松紧度适宜,屈髋90°、内外旋髋关节无脱位后缝合修复关节囊,将臀中肌、短外旋肌群重建于假体上。

    233.png


    术后疗效


    经过我院骨科团队的精心治疗,患者术后恢复良好,疼痛明显减轻,术后一周已可下地活动,并在医生指导下开始康复锻炼。此次手术的顺利完成,不仅为患者解除了病痛,也充分展示了我院骨科在复杂骨科手术方面的丰富经验和精湛技术。

    图片 5.png

    术后双下肢全长片见假体位置良好,下肢长度等长,力线满意

    图片 6.png

    图片 7.png

    右侧人工髋关节翻修术联合右股骨同种异体骨重建内固定术是一项极具技术挑战性的手术。此次手术的成功实施,志着我院骨科在复杂骨科手术领域的显著进步与新的突破,充分彰显了骨科团队的专业素养、丰富的临床经验和卓越的手术技术。

    下来,我院骨科将继续秉持专业、严谨、务实的工作态度,不断追求医疗技术的卓越与创新,始终坚守以患者为核心的服务理念,为更多患者提供更为优质、高效的医疗服务。


    (骨科


Baidu
map