当前时间:2026年03月20日 16:20:14
    当前位置 > 首页 > 医院新闻
    勇攀“高峰”,化险为“胰”!肿瘤医院肝胆胰外科成功为壶腹部癌患者施行腹腔镜胰十二指肠切除术
    所属分类:[医院新闻]      来源:      更新时间:2024-07-09     

    近日, 肝胆胰外科古松钢副主任医师团队成功为一名壶腹部癌患者施行腹腔镜胰十二指肠切除术,为患者精准切除壶腹部肿瘤,同时尽可能地保留正常胰腺组织,保证患者术后的生活质量。患者术后无胰瘘、胆瘘、出血等并发症,恢复良好出院。


    患者情况


    患者陈女士,今年36岁,近期突然发现自己双眼巩膜及全身皮肤发黄,并逐渐加深,出现皮肤瘙痒,食欲减退,全身乏力等不适。患者于当地医院查腹部CT发现十二指肠壶腹部结节状占位,伴有肝内外胆管及胰管扩张,考虑壶腹部肿瘤可能。

    家属重视,经多发打听,听闻我院古松钢副主任医师是肝胆胰肿瘤方面专家,遂至我院肝胆胰外科门诊就诊。古松钢副主任接诊后为患者办理入院并安排相关检查。

    ▶ 入院查血提示肝功能异常,总胆红素高达142.0umol/L,谷丙转氨酶 342 U/L,谷草转氨酶 273 U/L。

    ▶ 腹部增强CT、增强磁共振+MRCP均提示十二指肠壶腹部结节灶占位,考虑壶腹部周围癌,伴肝内外胆管、胰管、胆囊扩张。

    ▶ 因此,患者的黄疸症状为壶腹部肿瘤压迫堵塞胆管,胆汁流出受阻所致。

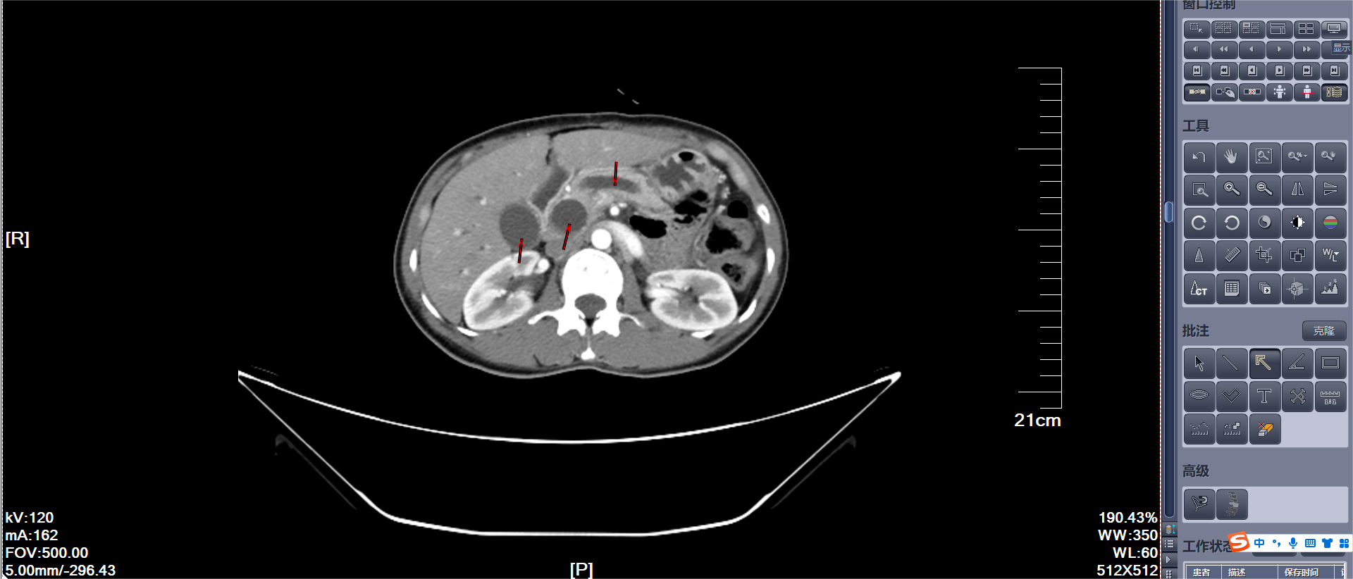
    图片 1.png

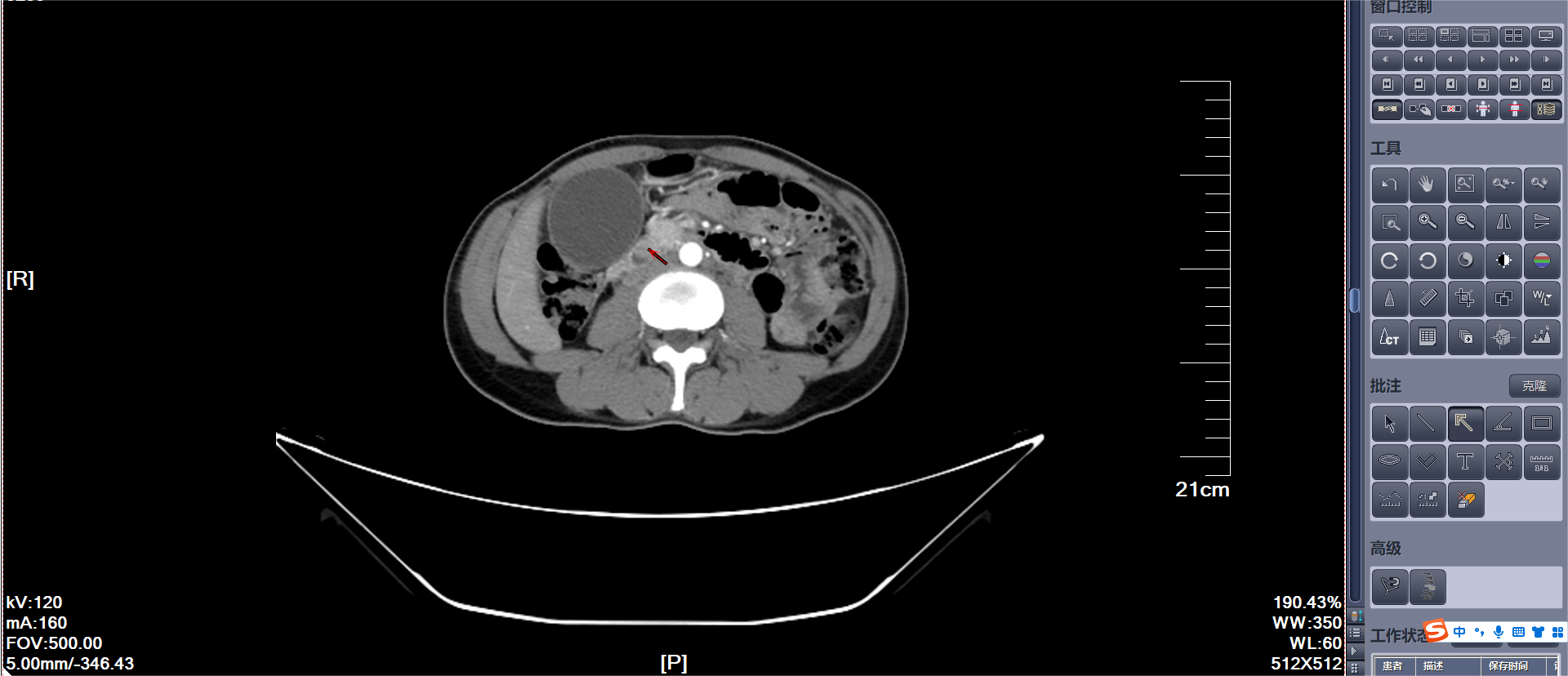
    图片 2.png

    A:十二指肠壶腹部结节状占位(红色箭头);

    B:扩张的胆囊、胆总管、胰管(红色箭头)增强CT提示十二指肠壶腹部结节状占位:考虑壶腹部癌可能并肝内外胆管、胰管扩张。

    在经过精准的肿瘤评估和完善的术前准备后,同时考虑患者为年轻女性,对腹部切口美容要求较高。肝胆胰外科古松钢副主任决定为患者实施——腹腔镜胰十二指肠切除术。


    勇攀“高峰”


    胰十二指肠切除术手术难度大,切除范围广,术中消化道重建复杂。手术切除范围包括:远端胃、胆总管下段、胆囊、全部十二指肠、胰头以及区域淋巴结的清扫。术中需施行胆管空肠吻合、胃空肠吻合、胰管空肠吻合的复杂消化道重建。腹腔镜下行胰十二指肠切除术具有创伤小、术后快速康复等优势,但手术操作难度相对更大、术后并发症的发生率高,被认为是外科医生需要攀登的“珠穆朗玛峰”。


    图片 4.png图片 5.png

    胰十二指肠切除术手术图解(图片来自网络)

    腹腔镜下实施该术式,需要在门静脉、肝总动脉、肠系膜上动静脉等大血管表面分离组织,稍有不慎就有损伤血管导致大出血的风险。因此,施行腹腔镜胰十二指肠切除术对主刀医师的手术技巧经验以及整个手术团队的配合要求甚高。

    手术当天,在麻醉科徐翔副主任、苏泽耿主治医师的保驾护航、手术室护理团队的默契配合下,手术顺利完成,手术时间约5个多小时,术中出血约50ml,术中无输血。术后患者恢复良好,无胰漏、胆漏、出血、感染等并发症。

    图片 3.jpg

    手术大体标本:十二指肠壶腹部肿瘤(红色圈)

    患者于术后2周出院,出院时患者肝功能基本恢复正常,胆红素水平接近正常,黄疸、皮肤瘙痒等症状基本消失。术后病理示:十二指肠壶腹部腺癌,中分化,胰胆管型,浸润至十二指肠深肌层,未见脉管癌栓及神经侵犯。


    该术式的成功开展标记着我院肝胆胰外科的治疗水平达到进一步提高。下来,肝胆胰外科将继续以患者为中心,积极探索新的医疗技术和治疗方法,为广大患者提供更优质的医疗服务,为百姓健康作出更大的贡献。


    (肝胆胰外科)


Baidu
map