当前时间:2026年03月18日 19:05:44
    当前位置 > 首页 > 医院新闻
    3D建模辅助髂腹股沟入路联合Gibson入路精准切除骨盆Ⅲ区继发性软骨肉瘤
    所属分类:[医院新闻]      来源:      更新时间:2024-05-11     

    来自揭阳的小王(化名)发觉右腹股沟区出现了一个肿块,而且4个月来迅速增大,右髋关节内收活动受限严重影响小王的行走。小王于当地医院就诊,医生告诉他很可能是“骨盆恶性骨肿瘤”,治疗难度大,建议转上级专科医院就诊。经多方打听,小王来到了 骨科门诊就诊。


    治疗难度大在哪?

    骨盆解剖结构复杂,外后方被覆宽广的臀肌群及深部的外旋肌群和髋关节稳定结构,坐骨神经也经此移行;前方腹股沟区大腿前群及内侧群肌肉发达,深面的血管、神经、淋巴结密集排列;内部包含了膀胱、直肠、生殖系统器官等多种重要脏器。长期以来,因为对手术医师操作技巧要求高,手术出血风险大,围手术期并发症多,仅在国内大型的肿瘤中心能够进行骨盆肿瘤外科治疗。


    我院骨科王伟东副主任接诊后详细询问了患者疾病发展过程,并为患者做了全身体格检查,仔细查阅了患者的检查报告,综合各方面信息后,诊断患者患有“先天性多发骨软骨瘤病”,并且右耻骨上支的骨软骨瘤已经恶变为继发性软骨肉瘤。目前患者远处脏器尚未出现转移,右耻骨病灶周围解剖屏障尚完整,王主任建议患者手术治疗。

    图片 2.png图片 3.png

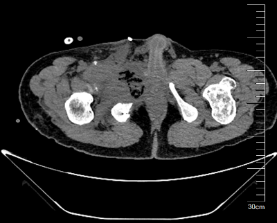
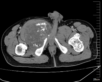
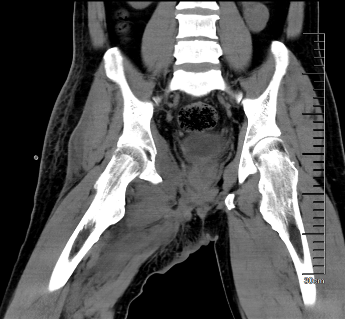
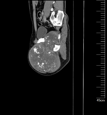
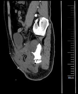
    术前CT

    图片 4.png图片 5.png图片 6.png

    术前MR


    多发性骨软骨瘤病

    ● 多发性骨软骨瘤病是一种累及软骨化骨的,以骨骼系统多发性外生性骨疣为特征的常染色体显性遗传病,可导致一系列的并发症如疼痛、畸形、局部血管、神经等的压迫、骨折、恶变等。骨软骨瘤好发于长骨骨骺附近,其好发部位顺次为胫骨上端、股骨上下端、肱骨上端、胫骨下端,且多背离附近的关节生长。手、足的短骨,骨盆、肩胛骨、肋骨等扁骨和脊椎、跟骨等不规则骨亦可发生。

    ● 患者一般因发现全身多处包块而就诊,除少数肿瘤因其位置、体积、形状关系,有压迫血管,压迫或刺激神经,妨碍关节或肌腱活动或引起局部摩擦性滑囊炎可能外,其余均不出现任何症状。

    ● 影像学检查基本可以满足诊断和疾病评估的需要,DR可以作为早期筛查和长期随诊的主要检查方法,对于解剖结构复杂的部位或怀疑有恶变的病灶,建议完善CT/MRI检查。

    ● 对于静息期的病灶,如果不压迫周围重要结构,则建议长期随访观察;但对于“软骨帽”宽大或生长迅速的病灶,则需要评估恶变的风险,建议早期手术切除。


    3D建模精准评估 MDT诊疗保驾护航


    通过3D建模的精准评估,小王右耻骨软骨肉瘤体积达到了1600立方厘米(1600623.71立方毫米),肿瘤下极自右大腿中段向上,内侧贴大腿皮肤,外侧推压内收肌群及股动静脉,穿过骨盆右闭孔,紧贴右髋臼内侧壁生长,骨盆内占位部分推压膀胱。

    图片 7.png

    软件测算肿物体积

    图片 8.png图片 10.png图片 9.png

    3d建模

    患者的肿瘤累及右侧耻骨上下支(Enneking Ⅲ区),预计截骨范围为耻骨联合到耻骨上支、耻骨下支到坐骨体内侧。由于肿物体积巨大,无论采用髂股入路还是髂腹股沟入路,单纯前路手术很难暴露坐骨及髋臼后柱结构,而在前路强行提拉推压肿物则会增加肿瘤破裂的风险。通过延伸Gibson入路,可以清晰的显露坐骨支,完整地显露截骨边界,降低肿瘤破裂及血管损伤的风险。由于该部分区域为非负重区,因此,无需进行骨盆环重建,但需要注意盆壁的修补,预防盆腔器官受重力作用下垂相关并发症。


    通过MDT诊疗模式,我院骨科团队联合麻醉科、重症医学科、肿瘤内科、放射科等科室共同制定了完善的治疗方案。手术采用髂腹股沟入路联合Gibson入路,在前路游离保护股动静脉及股神经,离断耻骨联合,并向远端剥离出肿瘤下界、外侧边界及内侧边界;改左侧卧位后,经Gibson入路首先游离保护坐骨神经,截断坐骨结节使肿物松动后再次转回仰卧位继续分离至肿瘤上边界,完整切除整块肿物,送病理检查,继续重建坐骨结节处股二头肌长头起点,修复盆底结构,至此,手术顺利完成。

    图片 11.png

      整块切除的肿物

    图片 12.png图片 13.png

    图片 14.png图片 15.png

      术后复查提示肿物完整切除

    术后患者恢复良好,生命体征稳定,为保护切口及术区内血管结构,右髋关节暂制动,右膝关节及踝关节活动良好,肢体触痛觉无障碍,肢端血运良好。

    图片 16.png

    骨科团队


    (骨科)


Baidu
map