当前时间:2026年03月30日 18:08:52
    当前位置 > 首页 > 医院新闻
    妙龄少女突发前臂肿块,骨科团队开展保肢治疗修复肢体功能
    所属分类:[医院新闻]      来源:      更新时间:2023-11-27     

    近期, 成功开展一例左前臂横纹肌肉瘤(累及尺骨)整块广泛切除+自体带血管蒂腓骨移植重建术,在完整切除肿瘤的同时,保留了肢体,并通过生物重建技术修复了肢体功能,取得了良好的治疗效果。


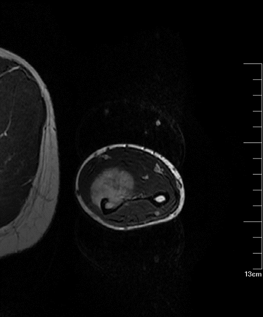
    17岁的小贝,发现左前臂右肿块2个多月,因近期肿块处有明显增大及疼痛加强,遂前往肿瘤医院骨科门诊就诊。肿瘤医院骨科王伟东副主任接诊后详细询问了小贝的发病经过,并仔细地做了体格检查。从病人的主诉加上MRI检查结果提示恶性肿瘤的可能性大。

    图片 1.png图片 2.png

    ▲ 患者初诊MR

    在征取患者与家属同意后予安排对病灶经皮穿刺活检,以明确肿瘤性质,后续病理检查提示:左前臂中段尺侧腺泡型横纹肌肉瘤。



    横纹肌肉瘤是横纹肌细胞或横纹肌细胞分化的间叶细胞的一种恶性肿瘤,一种好发于青少年和儿童的恶性肿瘤,主要表现痛和无痛性肿块,肿块破溃出血。有5种亚型,本次我科收治的腺泡状 横纹肌肉瘤(Alveolar Rhabdomyosarcoma,ARMS)是其中之一,具有较强的侵袭性,且易浸润和转移,在横纹肌肉瘤的5中亚型中预后较差。该患者肿瘤位于患者的左前臂尺侧掌面,位于指深屈肌深面,左侧尺骨干中段已经出现了骨质破坏,肿瘤侵入髓内。手术治疗难度非常大。


    突然的疾病,给一个家庭带来了巨大经济压力跟心理压力,小贝的父亲选择积极治疗。由于患者肿瘤较大,行保肢手术难度大,王主任建议小贝先行新辅助化疗、

    经过两个周期的化疗后,小贝的肿瘤由原来4.5cm*3.4cm缩小至3.0cm*2.8cm,在与家属沟通后,收治医院骨科准备行进一步治疗。小贝入院后,医院骨与软组织MDT(多学科联合会诊)团队针对病人病情进行研讨。综合评估远处脏器无转移,左前臂瘤灶缩小已有充足的外科边界进行保肢治疗。经专家团队讨论一直决定,对受肿瘤侵犯的组织进行整块切除,移植带血管蒂的自体腓骨重建尺骨缺损,肌腱成形重建伸肌和屈肌群功能。

    图片 3.png图片 4.png

    ▲ 新辅助化疗后复查MR


    随后,在王伟东副主任的带领下,骨科手术团队成功进行了肿物整块切除,术中及术后病理结果提示阴性,达到R0边界切除。

    图片 6.png

    ▲自体腓骨移植术前规划

    手术中,手术团队从患者右小腿截取带血管蒂自体腓骨进行自体骨移植,在显微镜的帮助下,成功将腓骨血管蒂与骨间前动脉与头静脉分别吻合,术中见动脉搏动良好,血液回流通畅。

    07acac8a4c477266601095de4b1d073.png

    4d6d7dd9a2090b73a4bf9cafdab9a64.png

    ▲术中完整切除的整块肿物,固定自体腓骨

    同时以钢板螺钉对移植腓骨进行了坚强固定、植骨打压,确保了重建区域的早期和晚期结构强度。

    图片 10.png

    ▲显微镜下吻合腓骨血管蒂

    同时,在腓骨干上钻孔,对拇指和食指的伸肌进行起点重建,将指深屈肌的残端与指浅屈肌吻合重建,重建患肢手指的屈伸功能。经过6个小时的艰苦奋战,手术顺利。

    图片 11.png

    ▲术后病房开展康复锻炼

    术后3周,采用石膏托外固定的方式保护患者重建的肌腱,第3周开始拆除石膏托装置,指导患者无对抗状态下开始左前臂旋转功能及左腕屈伸功能锻炼。11月初,小贝返院复查,在王主任的耐心指导下,消除内心的恐惧与焦虑配合做好康复锻炼,左前臂旋转功能及左腕屈伸功能恢复良好。

    王主任提醒到:“肿瘤的症状取决于肿瘤的大小、部位以及是否扩散。有因为外伤带孩子到医院检查发现骨病变,有因为一开始肿块小忽视病情,等肿块逐渐增大才就诊却耽误病情,错过最佳治疗时机。而大多数的孩子都没有症状表现。此类肿瘤的症状与别的疾病、医学问题相似,一旦有怀疑要及时就诊,做出明确诊断,尤其是青少年期的孩子。对于横纹肌肉瘤的治疗关键是需要一个专业的多学科合作团队,做到‘早期精准诊断,全面合理评估,规范辅助治疗,确保整块切除,重建肢体功能,术后持续随访’,确保每一个病例都能得到最好的治疗。”


    专家介绍

    图片 12.png

    王伟东

    骨科副主任

    医学博士、骨科副主任医师、硕士生导师;国际留学生导师,汕大医学院优秀全英教师,2019年汕头市青年英才;

    担任广东省医院协会脊柱外科专委会常委;广东省康复学会脊柱分会常务理事;汕头市医学会骨科专业分会常务;汕头市医学会关节外科分会常务。



    (骨科)

Baidu
map